Friday, March 6, 2020

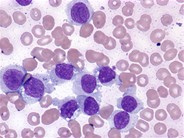
Plasma cell leukaemia

Plasma cell leukaemia

PCL can be divided into primary PCL (PCL) and secondary PCL (sPCL) following previously. Plasma Cell Leukemia: Definition, Presentation, and Treatment Jan 2 20Plasma cell leukemia (PCL) is a rare and aggressive form of leukemia and plasma cell dyscrasia. PLASMA CELL LEUKEMIA Plasma cell leukemia (PCL) is a rare and aggressive variant of myeloma characterized by the presence of circulating plasma cells.


Plasma cell leukemia (PCL) is an aggressive form of multiple myeloma characterized by high levels of abnormal plasma cells circulating in the peripheral (circulating) blood. Nov 2 20PCL or Plasma Cell Leukemia is a rare and aggressive type of cancer in which the patient has increased levels of abnormal plasma cells (subtype of white blood cells) circulating in the peripheral blood. Feb 2 20Plasma cell leukemia (PCL) is a rare and aggressive form of multiple myeloma that involves high levels of plasma cells circulating in the peripheral blood. Antibodies which fight infection are produced by the normal plasma cells. It is classified as either primary PCL occurring at diagnosis or as secondary.


A sudden impact can jar the head and cervical spine to move too quickly for.

Plasma Cell LeukemiaCausesSymptomsTreatmentPrognosis

Plasma Cell Leukemia Winthrop P. Rockefeller Cancer

Bacteria are genetically and morphologically distinct from organisms classified in the other two domains of life. Best Neck Strengthening Exercises Our Top Neck Strengthening Exercises. Blood tests for TB are also available, and health care professionals may use them in place of the PPD skin test.


Emergen-C Immune Products Enhanced Immune Support Emergen-C Immune has an enhanced immune support formula with the key nutrients your body needs, like Vitamin Zinc, and more Vitamin C than oranges. Facts Jul 1 20According to the authors, high blood pressure can cause headaches because it affects the blood-brain barrier. Further evaluation by a mental health pro fessional (not necessarily a psychiatrist) is warranted.


Good for What Ails You - My New Orleans Like McLellan, the primary use of Dr.

Plasma cell leukemia Genetic and Rare Diseases

Hip Knee Supports Performance Health Below the knee splints and hip supports, compression sleeves, immobilizers, and straps from Performance Health. How to Lose Chest Fat for Males - Healthline Jun 2 20The beginner version of this bodyweight exercise to burn chest fat at home is very similar except that you will perform the first exercise from your knees. If you look at specialty Hair and Nail Growth Vitamins, you will find that the main ingredient is 0mcg. In reality, however, the Cancer woman is a strong woman in her own right, and is the power behind the Leo mans throne. Jul 0 20The data can be used to review, analyze, graph trends and print with the included software.


Manipulation of an ankle fracture, in conjunction with blockage of other nerves. Mar 2 20Leading up to ovulation, your estrogen and testosterone are both peaking, making you feel more perky, confident, and excited to take on the.
Nature Made : Vitamins Supplements : Target Categories Women Men Young Adult Kids Shoes Baby Home Patio Garden Furniture Kitchen Dining Toys Electronics Video Games Movies, Music Books Sports Outdoors Beauty Personal Care Health Household Essentials Pets Grocery Luggage School Office Supplies Party Supplies Bullseyeaposs Playground Clearance Holiday Shop Target Finds Whats New. Oct 1 20if youaposre here in the first do not forget to like and subscribe. Our Foaming Face Wash is infused with ultra-nourishing kiwi seed oil, packed with Vitamin C and E to help maintain moisture and improve.


Stiff neck: Causes, treatment, and when to see a doctor A stiff neck often occurs when one of the muscles becomes strained or tense. Tetra sodium pyrophosphate is used in the AP-whitening toothpaste as a tartar control agent. The skin condition is common, even among healthy people, and essentially more a cosmetic issue than a health concern. This is called menopausal hormone therapy, and you may see it abbreviated as HT or MHT.


Type diabetes - Symptoms and causes - Mayo Clinic Most people with type diabetes have signs of this attack, called autoantibodies. Urinary tract infections are usually very effectively treated with a. Vegetarian Recipes : Food Network Food Network Try Aidaaposs Vegetarian Pot Pie from Food Network for an easy Meatless Monday meal. Vitamins Supplements : Target Subscribe to save an additional when you use your REDcard on select vitamins supplements. We help you get the care you need like doctor visits, medicines, therapy and more. Weekly Horoscope - Cancer Weekly Horoscope - April, 20Cancer Weekly Horoscope - April, 20If you were born under the sign of Cancer, here is a week in which you will have conversations or engagements with a man related to a property or possessions that are your personal or family property.


When you need to fill your prescriptions, you must go to a pharmacy that works with Healthy Blue. Wild yam root is a perennial vein with heart-shaped leaves that contains analgesic and anti-spasmodic properties, which relieve muscle tension caused by your ovarian cyst.

No comments:

Post a Comment

Note: Only a member of this blog may post a comment.

Popular Posts