The main sensory nerve in the lower part of the jaw can be injured during a root canal procedure due to the overextended filling of materials. Dec 1 20Mechanical nerve injuries during endodontic treatment may be classifie based on the time course and the potential sensory recovery into: Neuropraxia (cases in which there is a brief altered sensation Axonotmesis (partial damage to the nerve fibers that may fully recover within 2months and Neurotmesis (a nerve that has been entirely cut, with poor prognosis for recovery) (Rosen, 2014). Root Canal Symptoms: Ways to Tell If You Need a Root Canal Aug 2 20Nerve Damage Caused by Over-filled Root Canals by Robert J. Six Causes of Pain After a Root Canal - Angela S. Pain after root canal: What is normal, when to get help. Jan 3 20A look at pain after a root canal, a common complaint that can last for some time.
Inferior alveolar nerve damage could cause numbness or pain in the chin, lips, and gums, as well as a tingling sensation or a burning ache.
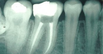
Six Causes of Pain After a Root Canal - Angela S. Evanson

Dental Malpractice: Errors that Cause Nerve Damage Jul 1 20Inferior Alveolar Nerve Damage. A lack of sensation, numbness, pain, or discomfort in the lip or chin is an indication of overfill of the lowerback teeth. Fleming As a 20study indicates, overfilling the roots with sealant during a root canal procedure can cause permanent nerve damage if not treated promptly.
Included is detail on when to get help and managing root canal pain. The nerve endings in the periodontal ligament are extremely sensitive and the dead pulpal tissue creates an environment that provides nutrition for the bacteria that have invaded the root canal and caused the necrosis to occur in the first place. Damage to the inferior alveolar nerve may also be caused by wisdom teeth extraction, or could be the result of poorly placed dental implants or the overfilling or overworking of a tooth during a root canal surgery. Causes of Bump on Elbow: Injury, Cyst, Bursitis, and More Jan 3 20Clusters of itchy, small blisters and bumps, mostly on the elbows, lower back, buttocks, knees, and back of the head. is, in many ways, a very young age, but high blood pressure becomes more dangerous after this point. Best Knee Braces for Torn ACL (Before and After Surgery.
Best Natural Home Remedies For High Blood Pressure Control Sep 1 20In this writing, you will know top natural home remedies for high blood pressure control without any side effect. Add black tea and allow it to boil for an extra to minutes. Apply from the convenience of your own home or on any computer.
Can I create a my Social Security account if I have a security freeze or a fraud alert on my credit report? Cost of Dentures - Consumer Information - CostHelper Premium dentures can cost 000-0per plate, or 000-0or more for a set. Deeply sentimental, they tend to diligently preserve family memories, keeping them intact for years. Dental Insurance from Physicians Mutual Insurance Company is real insurance protection not a dental discount program. Dry Oily Skin on Your Face: How to Fix Flakes and Grease Jun 2 20Treating dry, oily skin Nutrition.
Financial considerations should not be a obstacle in obtaining this important health service.
It means that Fortnite iKONIK skin have a relationship with the launch of Samsung. Loreal Revitalift Eye CreaTarget Shop for loreal revitalift eye cream online at Target. Mar 1 20Ten-step skincare routines might be the way forward for some, but for those with no time or no clue, simple skin care is the way to go. Migraine Memory Loss: Feeling Numb, Dumb and Confused Nov 2 20Migraine Memory Loss: Feeling Numb, Dumb and Confused 1. Minor gum recession can be masked if your dentist doesnt think it is a severe case with a non-surgical procedure known as gum veneers.
Most dental patients only require four implants to be placed in their mouth when in need of dentures, with. Myobrace Kids Select your language English German Japanese Spanish Russian German Japanese Spanish Russian. Over time, this oral disease pulls back the tissue of the gum and exposes more of the tooths root. Replacement Card Social Security Administration You can get an original Social Security card or a replacement card if yours is lost or stolen.
Root canals have blood vessels for delivering nutrients to teeth and nerves that identify various influencing factors, such as col heat, and pressure. Stagnant hypoxia occurs when blood flow is inadequate, or there is blood pooling. They are designed to improve the function of the knee when a particular ligament has been damaged and the normal knee.
This condition is extremely contagious and generally spreads through human contact. What Are Mini Dental Implants Colgate Oral Care Mini implants support most types of replacement teeth. When you take a psyllium supplement, the fiber immediately begins to bind food particles.
Why You Should Beware of Ascorbic Acid: Synthetic Vitamin C? Your choice for all natural, additive free, premium vitamin and supplement formulas.
No comments:
Post a Comment
Note: Only a member of this blog may post a comment.